TelePathology Consultants, PC

FORUM
CASE 2

Male, 47 years old with painless,
slow growing nodule of approximately
3 cm in largest diameter, located in the
subcutis of the shoulder. No history of
trauma was recorded at that level.
Clinical diagnosis: lipoma.

Gross: Masses of gray mucoid material
admixed with some fragments of adipose tissue.

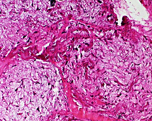
Microscopy: Five images.

Immunohistochemical study:
Positive for CD-34.
Negative for keratins, protein S-100,
vascular markers, MIB-1 and protein p53.

What is your diagnosis?

Please reply to:
Dr. Antonio F. Conde Martín
Pathologist
Hospital Can Misses
Ibiza. Spain.
E-Mail:
aconde@hcm-ibiza.es
 

Magnification 4x

Magnification 4x

Magnification 10x

Magnification 10x

Magnification 25x

 

FORUM CASES

PREVIOUS CASE

NEXT CASE

---------

HOME

SUBMIT CASES

CONTACT US

REVIEW CASES

MEDICAL STAFF OTHER LINKS

ARTICLES

COURSES

Copyright © 1997 - 2019 - TelePathology Consultants, P.C. - All Rights reserved
Web Designs by InterWebPages


Visitors since March 28, 2000