TelePathology Consultants, PC

FORUM
CASE 10

 
Internet Explorer Users, Press key F11
 

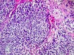
This is a 65 year-old male with clinical history of a left lower lobe pulmonary tumor detected by ultrasound and by CT scan.  Resection of the left lower pulmonary lobe showed sub-pleural localization of a relatively well circumscribed tumor.  The tumor was of rough consistency and grayish-white color measuring 19 mm in greatest diameter.

Immunohistochemical staining showed focally expression of Vimentin, BerEp 4 and MNF.

We present eight images from sections stained with hematoxylin & eosin.

Please reply to:    Martin Hubert, MD

Caso presentado por:

Martin Hubert, MD
Pathology Department,
Lichtenberg Hospital
Fanningerstrasse 32,
10365 Berlin, Germany

 
Case 10 - slide scan Case 10 - 4x Case 10 - 10x Case 10 - 20x
Case 10 - 20x Case 10 - 20x & 40x Case 10 - 20x Case 10 - 40x

Click on the Thumbnail pictures to enlarge them.

Send your answers to: Martin Hubert, MD

FORUM CASES

PREVIOUS CASE

NEXT CASE

---------

HOME

SUBMIT CASES

CONTACT US

REVIEW CASES

MEDICAL STAFF OTHER LINKS

ARTICLES

COURSES

Copyright ©  2001 - TelePathology Consultants, P.C. - All Rights reserved
Webmaster and Designs by InterWebPages

 

 

 

 

 

 


Visitors since July 1st, 2001