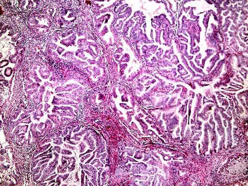
Endometrial Biiopsy in a 55 year old woman with uterine bleeding for 2 weeks (20x - 400x)


Previous Case -------------------- Next Case
| HOME PAGE | INTRODUCTION | MATERIAL AND METHODS | RESULTS | DISCUSSION | BIBLIOGRAPHY |
Copyright © 2000 - TelePathology Consultants, PC